La periimplantitis es una infección que afecta a los tejidos que rodean un implante dental y provoca pérdida de hueso. Es la “enfermedad de las encías” de los implantes. Su etapa inicial, la mucositis periimplantaria, cursa con inflamación sin pérdida ósea y sí es reversible si se actúa a tiempo. En Facialia (Silla, Valencia) nos enfocamos en detectar pronto la periimplantitis, eliminar el biofilm y estabilizar el hueso para prolongar la vida de tus implantes.
Señales de alarma de la periimplantitis (cuándo debes pedir cita)
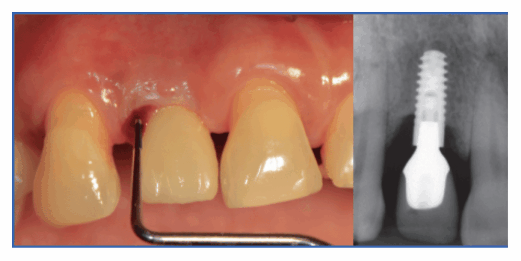
- Sangrado o “rojito” al cepillarte alrededor del implante (signo típico de periimplantitis o mucositis).
- Enrojecimiento, hinchazón o supuración (pus) que sugieren periimplantitis activa.
- Mal olor o sabor metálico persistente alrededor del implante (posible periimplantitis).
- Molestia al masticar o sensación de “presión rara” compatible con periimplantitis.
- Retracción de la encía o “diente más largo”, cambios frecuentes cuando avanza la periimplantitis.
- Espacios negros entre dientes/implantes que antes no estaban, asociados a periimplantitis.
- Movilidad (inestabilidad) del implante o de la corona en casos de periimplantitis avanzada.
Si notas una o más de estas señales, no esperes: cuanto antes actuemos frente a la periimplantitis, más opciones hay de salvar el implante.
Por qué aparece la periimplantitis (factores de riesgo)
- Placa/biofilm y higiene insuficiente alrededor del implante → principal causa de periimplantitis.
- Tabaquismo: aumenta el riesgo y empeora el pronóstico de la periimplantitis.
- Antecedentes de periodontitis (enfermedad de encías) → mayor susceptibilidad a periimplantitis.
- Diabetes mal controlada u otras condiciones sistémicas que favorecen la periimplantitis.
- Exceso de cemento bajo la encía o mal ajuste de la corona → desencadenantes de periimplantitis.
- Bruxismo (apretar/rechinar) y sobrecargas oclusales: agravan la periimplantitis.
- Falta de mantenimiento profesional (revisiones escasas) facilita la periimplantitis.
- Biotipo de encía fino o mal posicionamiento del implante: más riesgo de periimplantitis.
Cómo lo diagnosticamos en Facialia (Silla, Valencia)
- Historia clínica y hábitos (tabaco, bruxismo, higiene) para estimar riesgo de periimplantitis.
- Sondaje suave para valorar sangrado, supuración y profundidad de bolsa periimplantaria (periimplantitis).
- Radiografías periapicales y, si se necesita, CBCT para medir la pérdida ósea de periimplantitis.
- Revisión protésica (ajuste, contactos, restos de cemento) cuando hay sospecha de periimplantitis.
- Análisis oclusal (fuerzas, desgastes, interferencias) para controlar la periimplantitis.
Con esto clasificamos la gravedad de la periimplantitis y planificamos el tratamiento más conservador posible.
Tratamientos para salvar el implante en casos de periimplantitis
1) Control del biofilm (fase no quirúrgica)
- Instrucciones de higiene personalizadas (cepillo eléctrico, interdentales de tamaño adecuado, irrigador) para frenar la periimplantitis.
- Desbridamiento del implante con puntas y curetas específicas (titanio/recubiertas) en periimplantitis.
- Air-polishing con polvos finos (glicina/eritritol) para limpiar la superficie del implante y la encía sin dañarlas en periimplantitis.
- Desinfección local y control de factores: retirar cemento sobrante, ajustar la oclusión, recolocar/renovar la corona si hace falta para resolver la periimplantitis.
- Férula de descarga si hay bruxismo, clave en el control de la periimplantitis.
- Antibióticos: solo cuando están indicados por signos/síntomas y siempre bajo criterio clínico (coadyuvantes en periimplantitis).
Objetivo: eliminar la inflamación y detener la pérdida ósea por periimplantitis. En casos leves, esta fase puede ser suficiente.
2) Cirugía periimplantaria (cuando se necesita)
- Acceso y descontaminación de la superficie del implante en periimplantitis.
- Resectiva (regularización ósea) cuando la anatomía del defecto de periimplantitis lo requiere.
- Regenerativa: colocación de injerto óseo y, si procede, membrana para intentar recuperar soporte perdido por periimplantitis.
- Manejo de tejidos blandos (injerto de conectivo) para mejorar el sellado y facilitar la higiene tras periimplantitis.
No todos los casos de periimplantitis son candidatos a regeneración; lo decidimos tras valorar defecto óseo, diseño del implante, encía y biomecánica.
3) Mantenimiento estrecho (clave del éxito contra la periimplantitis)
- Revisiones cada 3–4 meses al inicio (luego adaptamos la frecuencia) para controlar la periimplantitis.
- Aeropulido periódico para mantener la zona libre de biofilm y prevenir periimplantitis.
- Refuerzo de higiene y chequeo de la oclusión para evitar recaídas de periimplantitis.
- Seguimiento radiográfico cuando está indicado en pacientes con periimplantitis previa.
¿Se pueden salvar todos los implantes con periimplantitis?
La mayoría sí si se actúa pronto frente a la periimplantitis. Los casos con movilidad, pérdida ósea avanzada circunferencial o mal posicionamiento pueden requerir retirada del implante y posterior planificación de regeneración y nuevo anclaje cuando sea viable. Nuestro objetivo siempre es preservar antes que reemplazar en la periimplantitis.
Prevención de la periimplantitis en casa (rutina práctica)
- Cepillo eléctrico 2–3 min, 2 veces/día para prevenir periimplantitis.
- Interdentales del tamaño adecuado o superfloss alrededor de los implantes (evita periimplantitis).
- Irrigador (modo suave) en zonas de difícil acceso para controlar periimplantitis.
- Evita fumar y controla la glucosa si eres diabético (menor riesgo de periimplantitis).
- Si aprietas los dientes, usa tu férula (protege frente a periimplantitis).
- Revisiones y limpiezas profesionales según te pautemos (no las alargues) para impedir la periimplantitis.
Preguntas frecuentes sobre periimplantitis
¿La periimplantitis duele siempre?
No. Muchas veces la periimplantitis no duele hasta que está avanzada. El sangrado es la señal más precoz.
¿Cada cuánto debo revisar mis implantes si quiero evitar periimplantitis?
De forma orientativa, cada 3–6 meses, ajustándolo a tu riesgo (tabaco, higiene, antecedentes de periimplantitis o periodontitis).
¿Puedo usar enjuagues para curar la periimplantitis?
Los enjuagues no sustituyen la limpieza profesional ni corrigen factores como el cemento o la oclusión en periimplantitis. Pueden ayudar como apoyo si te lo indicamos.
¿El mal olor puede venir del implante por periimplantitis?
Sí; la supuración y el biofilm alrededor del implante son causas frecuentes de halitosis en periimplantitis.
¿Qué pasa si espero “a ver si mejora” y es periimplantitis?
Suele empeorar: se pierde más hueso y disminuyen las posibilidades de salvar el implante afectado por periimplantitis.
Checklist rápido (autocontrol en casa) para detectar periimplantitis
- ¿Sangras al cepillarte alrededor del implante? (posible periimplantitis).
- ¿Notas mal olor o “sabor raro”? (alerta de periimplantitis).
- ¿Ves enrojecimiento o encía retraída? (signos de periimplantitis).
- ¿Molesta al morder o sientes presión? (revisa por periimplantitis).
- ¿Ha aparecido un “espacio negro” nuevo? (sospecha de periimplantitis).
Si marcas cualquiera, pide una revisión: cuanto antes tratemos la periimplantitis, mejor pronóstico.
¿Necesitas una valoración por periimplantitis?
En Facialia estamos en Av. Reyes Católicos, 3 – Silla (Valencia).
Urgencias 24 h y atención con diagnóstico por imagen y protocolos mínimamente invasivos para conservar implantes y tratar la periimplantitis.
Reserva tu cita al 636688886 y te explicamos tu plan de tratamiento paso a paso para la periimplantitis.



