
Aumento de labios: cómo lograr volumen natural y una forma armónica del rostro
El deseo de unos labios pulposos, definidos y con una forma equilibrada se ha convertido en una de las tendencias estéticas más demandadas en la
En el blog de Facialia compartimos contenidos sobre salud y estética dental en Valencia, con el objetivo de resolver las dudas más frecuentes de nuestros pacientes y ayudarte a tomar decisiones informadas.
A través de artículos y casos de estudio, abordamos temas relevantes de odontología con un enfoque claro, práctico y actualizado.

El deseo de unos labios pulposos, definidos y con una forma equilibrada se ha convertido en una de las tendencias estéticas más demandadas en la

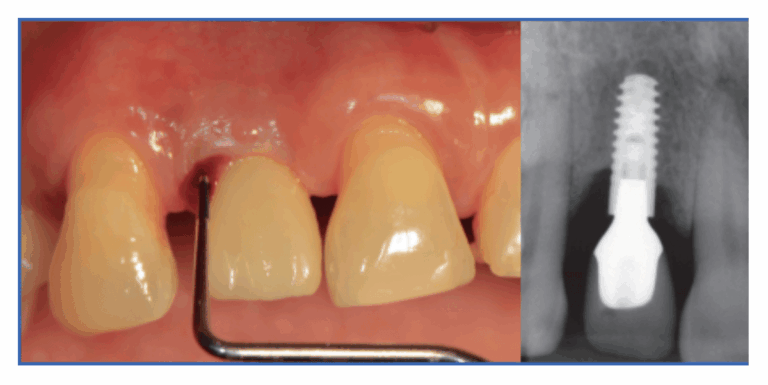
La periimplantitis es una infección que afecta a los tejidos que rodean un implante dental y provoca pérdida de hueso. Es la “enfermedad de las

Una sonrisa alineada transmite salud y confianza. Aun así, muchas personas conviven con dientes chuecos, una condición que puede afectar la estética y la función

Una sonrisa alineada y saludable es un reflejo de bienestar y confianza. No obstante, alcanzar ese resultado requiere un proceso ortodóntico cuidadoso seguido, inevitablemente, por
En Facialia (Silla, Valencia) vemos con frecuencia la encía retraída después de un implante. Nuestro objetivo es claro: diagnosticar la causa y ofrecer la solución
En Facialia (Silla, Valencia) ayudamos a pacientes con sensibilidad por ácidos a volver a masticar bien y disfrutar de alimentos fríos, calientes o cítricos sin

La ortodoncia ha avanzado mucho en los últimos años, ofreciendo tratamientos cada vez más eficaces y cómodos para alinear los dientes. Una de las innovaciones

El dolor dental es una de las consultas más frecuentes. Muchas personas piensan en tomar antibióticos para el dolor dental, pero esta no siempre es

La pérdida de cabello es una preocupación común que afecta a muchas personas, impactando su autoestima y calidad de vida. Afortunadamente, hoy existen soluciones altamente
El diseño de sonrisa se ha posicionado como una de las técnicas más demandadas dentro de la odontología estética moderna. No se trata únicamente de