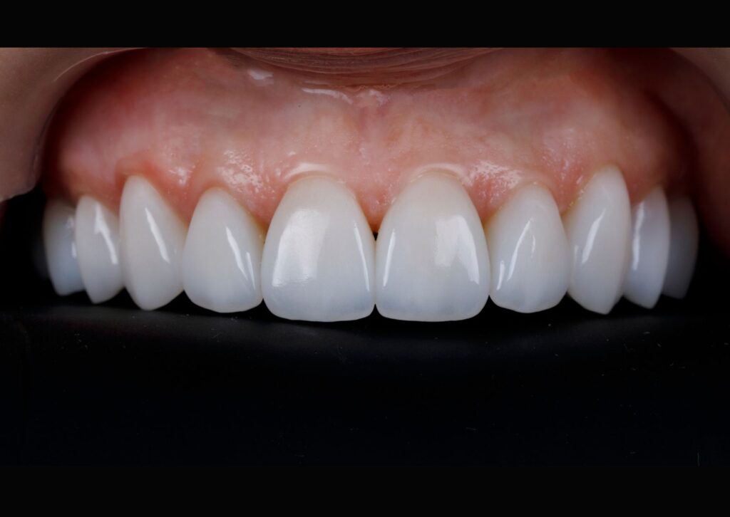
В Facialia, вашей стоматологической клинике в Silla, Valencia, мы рассматриваем виниры как полностью персонализированное лечение, направленное на улучшение эстетики улыбки без потери естественности лица и гармонии зубов.
Мы знаем, что каждая улыбка уникальна. Поэтому перед началом любого лечения мы внимательно выслушиваем пациента, анализируем его зубную и лицевую анатомию и создаём эстетическое решение, которое не только выглядит красиво, но и соответствует его выражению лица, манере улыбаться и личным предпочтениям.
В нашей клинике мы работаем как с композитными винирами, так и с циркониевыми винирами, подбирая в каждом случае наиболее подходящий вариант для достижения эстетичного, естественного и долговечного результата.
Что такое виниры?
Виниры — это тонкие накладки или слои материала, которые фиксируются на видимой поверхности зуба, чтобы улучшить его форму, цвет, размер или пропорции. Это отличный вариант для пациентов, которые хотят скорректировать изношенные, сколотые, потемневшие, неровные зубы или небольшие промежутки между ними — всегда после индивидуальной профессиональной оценки.
Наша цель — не просто изменить улыбку, а сделать её красивее, сохранив индивидуальность пациента.
Композитные виниры в Facialia
Композитные виниры — это эстетичное, щадящее и очень универсальное решение. В Facialia такое лечение всегда проводится в полностью индивидуальном формате и совместно с пациентом.
Одним из самых важных этапов является подбор цвета. Мы не используем стандартные оттенки без учёта особенностей человека: мы вместе с пациентом выбираем цвет, который ему больше всего подходит, гармонирует с внешностью и даёт максимально естественный результат. Кроме того, мы также совместно проектируем улыбку, учитывая пропорции, форму зубов и эстетическую гармонию, чтобы добиться красивого, сбалансированного и натурального эффекта.
Ещё одно большое преимущество этого вида виниров заключается в том, что в большинстве случаев не требуется обточка зуба или требуется минимальная подготовка, поскольку материал наносится тонкими слоями с высокой точностью и эстетическим подходом. Благодаря этому композитные виниры являются очень щадящим вариантом в эстетической стоматологии.

Циркониевые виниры в Facialia
En nuestra clínica también realizamos carillas de zirconio , una opción muy duradera . Por eso, en Facialia, suelen ser nuestra primera opción cuando buscamos un resultado estético con una fiabilidad duradera.
Para realizar estas carillas se requiere una mínima preparación del diente , pero en nuestra clínica esta etapa se lleva a cabo con el máximo cuidado , preservando la mayor cantidad posible de tejido dental natural y sin desgastes innecesarios.
También utilizamos un protocolo digital moderno para que el proceso sea más preciso, cómodo y rápido para el paciente. Realizamos un escaneo intraoral de la cavidad oral y, con base en estos datos , diseñamos carillas según la anatomía dental y facial del paciente . Esto nos permite personalizar al máximo cada caso y minimizar el tiempo que el paciente pasa con restauraciones temporales .
Как и в случае с композитными винирами, при работе с цирконием мы уделяем огромное внимание финальной эстетике. Мы вместе с пациентом подбираем оттенок, который ему нравится и который ему действительно подходит, всегда стремясь к элегантному, гармоничному и естественному результату.
Кроме того, в Facialia на циркониевые виниры предоставляется гарантия 5 лет, потому что мы уверены в качестве нашей работы и считаем прозрачность и доверие важнейшей частью всего лечения.

Композит или цирконий: что лучше?
Не существует одного универсального ответа для всех пациентов. Лучший вариант зависит от таких факторов, как:
- исходное состояние зубов;
- желаемый эстетический результат;
- степень необходимой коррекции;
- привычки пациента;
- ожидания в среднесрочной и долгосрочной перспективе.
В целом композитные виниры — отличный выбор для тех, кто ищет щадящее, эстетичное и очень индивидуализированное лечение. Циркониевые виниры, в свою очередь, идеально подходят тем, кто хочет получить решение с большей прочностью и долговечностью.
Именно поэтому в Facialia мы всегда проводим предварительную консультацию и подробно объясняем преимущества каждого варианта, чтобы пациент мог принять решение спокойно, осознанно и с полной уверенностью.
Наш подход: естественная эстетика и максимальная прозрачность
В Facialia Silla мы понимаем эстетическую стоматологию как искусство создания естественной улыбки. Мы не стремимся к искусственному или чрезмерному результату. Мы хотим, чтобы пациент выглядел лучше, чувствовал себя увереннее и при этом узнавал себя в своей новой улыбке.
Наш подход основан на следующих принципах:
- индивидуальный дизайн улыбки;
- совместный выбор цвета;
- щадящее лечение;
- цифровые технологии и внутриротовое сканирование;
- эстетичный и естественный результат;
- чёткая информация и прозрачность на каждом этапе.
Мы уверены, что качественное эстетическое лечение должно не только хорошо выглядеть, но и быть спланировано честно, точно и профессионально.
Почему стоит выбрать Facialia для установки виниров в Silla, Valencia?
Выбор стоматологической клиники для эстетического лечения — это важное решение. В Facialia мы внимательно относимся к каждой детали, чтобы пациент проходил весь процесс с доверием, спокойствием и уверенностью.
Вот некоторые причины, по которым пациенты выбирают нас для установки виниров в Silla, Valencia:
- мы работаем как с композитом, так и с цирконием;
- мы создаём индивидуальный дизайн каждой улыбки;
- мы всегда отдаём приоритет естественности;
- мы придерживаемся максимально щадящего подхода;
- мы используем внутриротовое сканирование и цифровое планирование;
- мы обеспечиваем близкое, понятное и прозрачное сопровождение пациента.
Сделайте шаг к более гармоничной улыбке
Если вы ищете клинику, специализирующуюся на винирах в Silla, Valencia, в Facialia мы поможем вам подобрать наиболее подходящее решение именно для вас. Будь то композитные виниры или циркониевые виниры, наша цель остаётся неизменной: создать эстетичную, естественную, индивидуальную улыбку, гармонирующую с вашим лицом.
📍 Авенида Рейес Катólicos, 3, нижний этаж, Silla, Valencia
📞 636 688 886
🌐 facialia.com
✉️ info@facialia.com


